こんにちは!
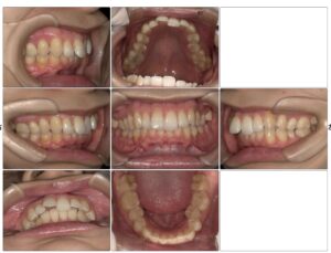
歯科助手の土肥です。 前回、 私がブログを担当させていただいた際、 矯正を始めたことについてお話ししたので、 今回はその進捗状況についてお伝えできたらと思います! 現在、16枚目のマウスピースをつけており、 丁度半分まで進みました。 (追加でマウスピースを制作する可能性もあります。) 1番目立っていた上の前歯がかなり綺麗に並び、 スタッフだけでなく家族やお友達にも綺麗になったね‼︎と 言われることが増えました✨↑矯正治療開始前
↑現在 褒めてもらえると モチベーションが上がりますね! ただ、倒れていた奥歯を起こしていることもあってか、 噛んだ状態でも歯が当たらない部分があり、 食事にいつも以上に時間がかかっております…。 より綺麗な歯並びになる為に 今は踏ん張り時です! 一時期チューイ (マウスピースのフィットを良くするために噛むもの)を サボってしまっていて、 その時はマウスピースが合わず痛い時間が長かったですが、 ちゃんと噛むようにしたら 痛い時間もかなり短くなりました。 チューイの大事さを 身をもって体感しました😅 引き続き頑張っていくので、 またどこかでお伝えできたらと思います♪
