こんにちは!
助手の外崎です☺️

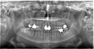
皆さんは歯科医院で撮影する
レントゲン、
何のために撮影し、
どんなメリットがあるか
ご存じですか?🦷🔍


①虫歯の早期発見💡
歯と歯の間の虫歯や
詰め物の下に広がる虫歯は
目視では発見しづらいです。
ですがレントゲンを撮ることで
目視では見つけにくい部分も
撮影することができるので
早期発見することができます👀

②歯の根の先の状態が分かる💡
神経の状態や歯の根の先に
膿が溜まっているかどうかなど
歯茎の中の重要な情報が
レントゲンから得ることができます!

③歯周病の進行度が分分かる💡
歯を支えてる骨(歯槽骨)が
どのくらい減っているのかが
レントゲンで見ることができます。
痛みがなく見た目が問題なくても、
実は見えないところで歯周病は進行しています😱

④ 親知らずや歯並びを確認できる
埋まっている親知らずの位置や
向きを確認することができるので、
抜歯する際のリスクの判断にとても重要です!
また歯列の生え変わりの時期の
お子さんのレントゲンからは
これから生えてくる永久歯の有無や
位置も確認することができます🦷


このように
歯科医院で撮影するレントゲンは
治療の正確性や精度、
安全性を保つために
とても重要になってきます✍🏻
また被曝量について
不安に思われる方もいらっしゃると思いますが、
歯科医院で撮影されるレントゲンは
被曝量はかなり低く、
日常生活の自然放射線より
少ないレベルなのでご安心ください👌🏻

歯科医院で撮影するレントゲンは
目的や撮影する範囲により
いくつかの種類が存在します✨

お口の中は見えないところに
問題が隠れている場合が多いので、
早期発見早期治療の為にも
定期的なレントゲン撮影をおすすめします!